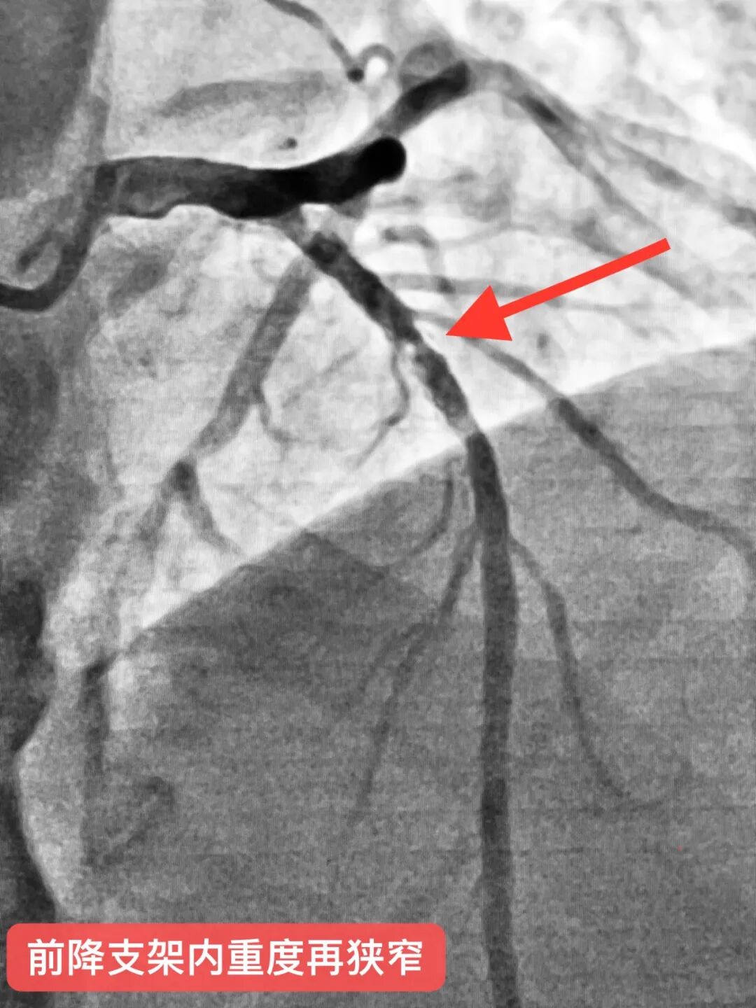
导读 心脏介入无植入,“药物球囊”显奇效!近日,县域首例支架内再狭窄药物球囊扩张术在玉山中医院顺利完成。 患者汪老伯,8年前因急性心梗在外院于前降支植入一枚支架,近一年反复出现胸闷、胸痛不适症状来县中医院就诊。经评估后考虑支架再狭窄可能,复查冠脉造影提示原支架内重度再狭窄。如在原支架内狭窄处叠加支架可能会明显增加再次狭窄风险,并且对血管弹性有明显影响,药物球囊扩张术是所有指南的优先推荐。经心脏介入科徐承权手术团队充分讨论并告知患者家属病情后,决定采用DCB(药物球囊)技术处理。术后患者症状即刻改善,立竿见影,3天后康复出院。
药物球囊的外表涂有一层可以抑制血管内皮增生的药物,医生通过患者手腕处的微小创口送入导管和药物球囊,用30至60秒的时间扩张球囊,把药物直接释放至冠状动脉的病变部位,在解除狭窄的基础上同时达到抑制血管内皮增生作用,保证血管通畅,降低再狭窄和血栓发生风险。 药物球囊与支架最大的不同在于没有任何金属植入物残留于患者体内,但是药物作用时间可以持续到手术以后的数月之久,这就解决了由于内皮增生导致的介入术后血管再狭窄的问题,为不适合支架植入的患者带来了福音。 药物球囊目前适用于: 1、支架内再狭窄,避免在支架内植入支架;2、小血管病变不宜植入支架者;3、有高出血风险患者,或需要缩短双联抗血小板治疗时间;4、分叉病变不宜植入支架患者;5、拒绝体内异物的患者。但也有临床研究认为,对于普通冠心病患者,也可考虑单纯药物球囊扩张,特别是糖尿病患者、年轻患者及高出血风险患者,因为糖尿病患者有较高的支架内再狭窄的比例;年轻患者由于年龄原因,对支架植入顾虑较多,甚至有抵触情绪;而高出血风险患者植入药物球囊后很短时间双抗后即可改为单抗治疗,避免了长期吃双抗带来的脑出血、胃肠道出血等致命风险。但药物球囊缺乏金属骨架因而不能预防急性弹性回缩的发生,亦不可用于处理血管夹层病变。 目前的临床随机对照试验已显示,在良好病变预处理基础上,结合功能学检测,DCB可有效抑制内膜增生,并有DAPT时间较短的优势,已成为许多临床情况下治疗冠脉病变的有效选择。DCB用于ISR治疗已是标准方案并得到指南推荐,不仅如此,DCB治疗冠脉新生小血管病变也被认为是DES的有效替代方案。此外,越来越多的证据表明,其它冠脉病变如分叉病变、大血管病变,甚至更复杂冠脉病变的介入治疗,都可能从单纯DCB治疗策略中获益。



来源:玉山县中医院

